В приведенном клиническом наблюдении рассмотрен вариант трехфазного течения несахарного диабета с развитием синдрома неадекватной секреции антидиуретического гормона (SIADH) у больного детского возраста после радикального удаления краниофарингиомы эндо-супраселлярной локализации. С динамикой клинического состояния были сопоставлены показатели мозгового кровотока, колебания гомеостатических параметров, уровня кортизола и тиреоидных гормонов крови. SIADH сопровождался нарушением сознания, судорожным синдромом, развитием общего отечного синдрома, в том числе интерстициального отека легких, нарастанием надпочечниковой и тиреоидной недостаточности. Сочетание SIADH с полигормональной недостаточностью и отечным синдромом определили направления интенсивной терапии.
Несахарный диабет после радикального удаления краниофарингиом у детей развивается в 80-93% наблюдений [8, 6, 4, 2]. На фоне несахарного диабета гипонатриемические состояния у детей в раннем послеоперационном периоде развиваются редко, их клинические проявления недостаточно изучены (трехфазное течение несахарного диабета). Ведущей причиной гипонатриемических состояний у больных с опухолями гипоталамо-гипофизарной системы, является синдром неадекватной секреции антидиуретического гормона (SIADH). SIADH характеризуется: гипонатриемей, повышением уровня натрия в моче, отсутствием почечной недостаточности и пангипопитуитаризма, нормо-или умеренной гиперволемией. SIADH, как правило, не вызывает развитие отеков [3, 5, 7]. Особенностью приводимого клинического наблюдения является развитие у ребенка, оперированного по поводу краниофарингиомы, SIADH на фоне полигландулярной эндокринной недостаточности. Олигурия и гипонатриемия, которые могут быть объяснены транзиторным повышением концентрации АДГ в крови (SIADH синдром), в сочетании с гипотиреозом и надпочечниковой недостаточностью проявились угнетением сознания до комы, судорожным и отечным синдромами.Б-ная А-ва М. 3 года.
Клинический диагноз: Краниофарингиома эндо-супраселлярной локализацией, окклюзионная гидроцефалия. Анамнез: со слов родителей за 6 месяцев до поступления в Институт девочка стала потреблять больше жидкости, через 3 месяца возникло сходящееся косоглазие, шаткость при ходьбе, тошнота и рвота в утренние часы, эпизоды гипертермии до 38 - 39ºС. При поступлении с больной был возможен речевой контакт, поведение соответствовало возрасту. Выявлялась гипертензионно-гидроцефальная симптоматика: головные боли, тошнота и рвота в утренние часы, полнокровие вен глазного дна с обеих сторон, увеличение размеров боковых желудочков головного мозга при компьютерно-томографическом исследовании. Острота зрения была OD – 0,9; OS – 0,6, выявлялась вялая фотореакция OD - OS. Объем движений в конечностях был полным, но отмечалось диффузное снижение мышечного тонуса.
Вес больной был повышенным, 20 кг. (норма до 17 кг), с структурой отложения жира по диэнцефальному типу. Суточный диурез составлял – 600 - 700 мл, эпизодически развивалась полиурия до 1500 мл/сут., сопровождаемая сильной жаждой. В крови уровень кортизола был - 460 нмоль/л (в пределах нормы), Т3 – 0,45 нмоль/л (норма 1,2-2,8 нмоль/л), Т4 - 42 нмоль/л (норма 60-160 нмоль/л). Полученные данные соответствовали умеренно выраженному гипотиреозу.19.11.03 была выполнена операция: удаление супраселлярной краниофарингиомы (стебельно-инфундибулярная ф-ма). Осуществлялся птериональный доступ справа. Опухоль располагалась ретрохиазмально, срасталась с дном III желудочка, разрушала инфундибулярную область. Стебель гипофиза, гипоталамус не были повреждены. В ходе оперативного вмешательства развился спазм правой внутренней сонной артерии, который был купирован аппликациями папаверина. Опухоль удалена полностью. Кровопотеря составила 800 мл, восполнена, эритроцитарной массой, препаратами гидроксиэтилкрахмала, кристаллоидными растворами.1-3 сутки после операции. Уровень бодрствования был снижен до сомнолении, вывлялись эпизоды выраженного стереотипного двигательного возбуждения (повороты корпуса в кровати, автоматические движения в конечностях), полидипсия. Элементарные инструкции выполняла. Отмечались двухсторонний полуптоз, снижение роговичных рефлексов, ограничение рефлекторного взора вверх, вялая фотореакция, симптомы орального автоматизма. Движения были получены во всех конечностях. Наблюдались генерализованный тремор, диффузное снижение мышечного тонуса. К 2 - 3 суткам двигательное возбуждение регрессировало, очаговая неврологическая симптоматика осталась на прежнем уровне.
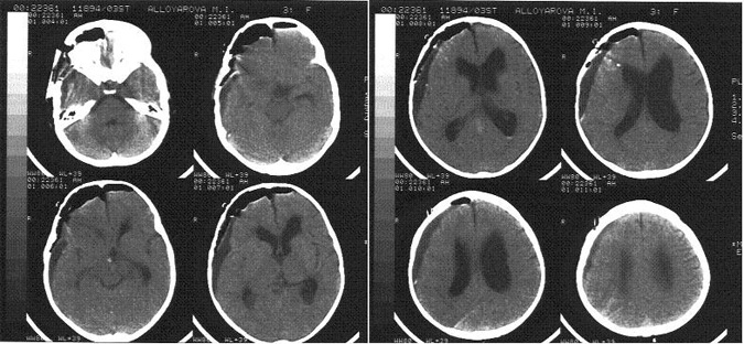
При компьютерно-томографическом (КТ) исследовании головного мозга (рисунок 1) выявлялось скопление воздуха и ликвора в субдуральном пространстве, преимущественно справа. Правый боковой желудочек копремирован. Опухоль удалена радикально. При транскраниальном допплерографическом исследовании данных за вазоспазм не было.

Дыхание было самостоятельным, с кратковременными эпизодами тахипноэ. Выявлялась тахикардия (показатели приведены в таблице 1). Отмечалось умеренное вздутие живота, с незначительным ослаблением перистальтики. Эпизоды полиурии, корректировались введением синтетического аналога вазопрессина (минирином), водный баланс оставался положительным, сохранялась гипернатриемия (показатели приведены в таблице 1).
Таблица 1.
Показатели водного баланса, Na крови, центрального венозного давления (ЦВД), артериального давления (АД), частоты сердечных сокращений (ЧСС), температуры тела в 1 - 3 сутки после операции.
| Водный баланс (мл) введено/ выделено | Na крови ммоль/л. | ЦВД см.вод.ст. | АД--ЧСС | Температура тела С | Прочее | |
| 1 сутки | 1200 / 1200 | 154 - 152 | 5 – 6 | 80/40--140 | 38,0 | 1 эпизод полиурии (1 мг минирина) | 
| 2 сутки | 2000/1500 | 168 - 162 | 7 - 8 | 90/60---130-140 | 38,0 | 3 эпизода полиурии (минирин 3 мг) | 
| 3 сутки | 1800/1600 | 159 - 150 | 7 - 8 | 90/60---120 | 37,0 | 1 эпизод полиурии, (1 мг минирина) | 
В 1 сутки после операции уровень кортизола в крови – 100 нмоль/л (норма 260 - 720 нмоль/л), Т3< 0,1нмоль/л (норма 0,9 - 2,9 нмоль/л), Т4 – 30 нмоль/л (норма 58 - 142 нмоль/л).
Терапия в 1 сутки после операции:- антибактериальные препараты, применялись по протоколу, принятому в Институте (цефазолин 80 мг/кг/сут); - дексаметазон, был назначен в дозе 0,25 мг/кг/ сут. - 6 мг/сут.; - синтетический аналог вазопрессина (минирин - 1 мг) назначался при повышении темпа диуреза более 3 мл – 5 мл/кг/час на протяжении 1 часа; - цитопротектор-сукральфат (вентер) использовался в возрастной дозе для защиты слизистой желудочно-кишечного тракта; - осуществлялся контроль потребляемой жидкости в сооношении с диурезом каждые 1 – 3 часа; инфузионная терапия проводилась до восстановления возможности энтерального пути введения жидкости, физиологическим раствором и 5% глюкозой для покрытия физиологических потребностей и восполнения дефицита жидкости; Интенсивная терапия во 2 сутки, учитывая снижения уровня кортизола и тиреоидных гормонов в крови, была дополнена гидрокортизоном - 25 мг/сут, Л-тироксином - 12,5 мкг/сут., что являлось заместительной терапией. Минирин больная получила 3 раза по 1 мг по факту полиурии, основной объем жидкости вводился энтерально.
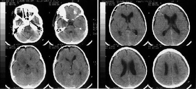
В 3 сутки была снижена доза дексаметазона до 2 мг/сут, гидрокортизон и Л-тироксин в прежней дозе, минирин введен 1 раз в дозе 1 мг.4 сутки после операции. Состояние больной ухудшилось, отмечалось нарушение сознания до сопора - комы, остро развился генерализованный судорожный припадок: клонические сокращения мимической мускулатуры левой половины лица, тризм жевательной мускулатуры, тонические судороги в конечностях по типу децеребрации. При КТ исследовании головного мозга было выявлено (рисунок 2): равномерное скопление ликвора субдурально с обеих сторон, уменьшение размеров желудочковой системы по сравнению с 1 сутками. В течение суток отмечалось еще 4 генерализованных судорожных припадка. Выявлялась устойчивая гипертермия до 39ºС.

Выявляется расширение корней легких, усиление легочного рисунка. Изменения легочной ткани соотвествуют интерстициальному отеку легких.
В течение суток отмечалось несколько эпизодов снижения артериального давления до 75/40 мм.рт.ст., выявлялась устойчивая тахикардия до 130 – 140 / мин., ЦВД было повышеным до 12 - 15 см.вод.ст. Перистальтика кишечника была значительно ослаблена. Отмечалось снижение темпа диуреза, в динамике снизился уровень натрия плазмы крови (см. Таблицу 2).5 сутки после операции. Сохранялось коматозное состояние (кома I). Судорожные припадки не повторялись. Выявлялись эпизоды стереотипного двигательного беспокойства, повышение мышечного тонуса по пластическому типу. Усугубился орально-стволовый синдром (угнетение фотореакции, зрачки симметричные узкие, низкие роговичные рефлексы, парез рефлекторного взора вверх). При транскраниальном допплерографическом исследовании: отмечалось повышение линейной скорости кровотока (ЛСК): в фазу систолы до 194 см/сек, в фазу диастолы до 122 см/сек, средняя до 152 см/сек, в бассейне средней мозговой артерии (СМА) справа, что было расценено, как умеренный ангиоспазм.
Сохранялась устойчивая гипертермия до 38-39 С. При проведении ИВЛ сохранялась необходимость в поддержании ПДКВ, содержание О2 во вдыхаемой смеси удалось снизить до 30%. Артериальное давление стабилизировалось. При ультразвуковом исследовании сердечно-сосудистой системы были выявлены: умеренно выраженные признаки легочной гипертензии (увеличение передне-заднего размера правого желудочка до 2.2 см) и незначительное снижение сократимости миокарда (% DS = 29), периферическое сосудистое сопротивление оставалось в пределах нормы (380 дин/с/см).
Сохранялось ослабление перистальтики кишечника с эпизодами геморрагического отделяемого по желудочному зонду. Проявилась анемия - гемоглобин 8,5 г/дл. На фоне продолжающейся задержки жидкости, гипонатриемия усугубилась (см. Таблицу 2).
В суточной моче было повышено содержание Na (Na 600 ммоль/сут), показатели креатинина, мочевины в плазме крови оставались в пределах нормы. Отмечалось снижение уровня кортизола в крови 90 нмоль/л (нормы 260 - 720 нмоль/л), Т3 - 0,3 нмоль/л (норма 0,9 - 2,9 нмоль/л), Т4 – 20 нмоль/л (норма 58 - 142 нмоль/л).6 сутки после операции. Возрос объем целенаправленных движений, регрессировало стереотипное двигательное беспокойство подкорковой структуры. Сохранялось повышение ЛСК в бассейне правой средней мозговой артерии.
Гипертермия регрессировала. Разрешился интерстициальный отек легких, что позволило снизить больной респираторную поддержку и проводить ИВЛ в режиме CPAP. Восстановилась адекватная перистальтика кишечника. Стал возрастать темп диуреза, и уровень натрия плазмы крови.
Таблица 2.
Показатели водного баланса, Na крови, центрального венозного давления (ЦВД), артериального давления (АД), частоты сердечных сокращений (ЧСС), температуры тела в 4 - 6 сутки после операции.
| Водный баланс (мл) введено/ выделено | Na крови ммоль/л. | ЦВД см.вод.ст. | АД--ЧСС | Температура тела С | Прочее | |
| 4 сутки | 1000/1000 диурез стимули руется | 149 - 134 | 12 - 15 | 80/40—140 | 39,0 | Кома, ИВЛ,SIMVинтерстиц. Отек легких | 
| 5 сутки | 1000/1200 диурез стимули руется | 131 – 125 –121 | 9 - 10 | 90/40—130 | 38,0 | Кома, ИВЛ, SIMVинтерстиц. Отек легких | 
| 6 сутки | 1000/1100 диурез стимули руется | 125 - 131 | 7 - 8 | 90/40—110 | 37,2 | Сопор,ИВЛ, CPAPрегресс отека легких | 
В период 4 – 6 суток после операции интенсивная терапия включала:
- Учитывая нарастание тяжести состояния (дыхательная, сердечно-сосудистая недостаточность, отечный синдром, гипонатриемия, снижение уровня кортизола в крови) была увеличена доза гидрокортизона до стресс-дозы (3 – 5 мг/кг/сут), что составило 50 мг/сут. Л-тироксин был оставлен в прежней дозе. Доза гидрокортизона была уменьшена на 6 сутки после операции до 37,5 мг/сут, на фоне положительной динамики состояния;
- Синтетический аналог вазопрессина (минирин) не использовался из-за сохраняющегося снижения темпа диуреза. Для коррекции отечного синдрома проводилась стимуляция диуреза салуретиками (лазикс 5 - 15 мг/сут) до получения отрицательного водного баланса, дефицит Na восполнялся физиологическим раствором и энтеральным введением поваренной соли.
- Были назначены противосудорожные препараты – фенобарбитал 10 мг/сут.;
- Учитывая эпизоды геморрагического отделяемого по желудочному зонду, была увеличена доза сукральфата (вентер) до 2 таб/сут., и назначен Н 2 - блокатор (зантак) 150 мг/сут в виде постоянной инфузии. Однократно была осуществлена трансфузия 1 дозы свежезамороженной плазмы, учитывая снижение протромбиновго индекса (ПИ < 70%) и повышение активированного частичного тромбопластиновго времени (АЧТВ > 35 сек). Трансфузия эритроцитарной массы не проводилась, так как гемоглобин оставался в пределах > 8/0 г/дл.
- Для коррекции ангиоспазма правой средней мозговой артерии применялись препараты, улучшающие мозговой кровоток: сермион (6 мг/сут), циннаризин (25 мг/сут). Однако по данным допплерографического исследования эффективность этих препаратов не была подтверждена. Учитывая положительную динамику очаговой неврологической симптоматики к 7 суткам после операции, терапия препаратами, улучшающими мозговой кровоток не возобновлялась.
7-12 сутки после операции. Восстановилось сознание, полный объем движений в конечностях. Мягкие проявления орально-стволового синдрома сохранялись. Начала преобладать гипотермия 35 - 36.0С. Больная экстубирована на 10 сутки после операции, нарушений дыхания в последующем не было. Показатели гемодинамики соответствовали возрастной норме, восстановилась нормальная перистальтика кишечника. Установилась тенденция к полиурии с необходимость применения синтетических аналогов вазопрессина. Показатели водного баланса и Na в плазме крови относительно стабилизировались, соответственно - 1300/1200 - 1400/1300 мл/сут. и 140 - 155 ммоль/л. Отмечалась нормализация уровня гормонов в плазме крови: кортизол 464 нмоль/л, тироксин 42 нмоль/л, оставался сниженным уровень трииодтиронина 0,45 нмоль/л. Спазм в бассейне правой СМА регрессировал к 10 - 11 суткам.
В период 7 – 12 суток после операции были снижена суммарная доза глюкокортикостероидных гормонов до уровня заместительной терапии - гидрокортизон 25 мг/сут, дексазон был отменен. Доза Л-тироксина не снижалась, учитывая фоновую гипотермию, и недостаточность трийодтиронина в плазме крови. Доминирование клинических проявлений несахарного диабета определили необходимость отмены диуретиков и применения минирина в дозе 1 – 3 мг/сут.
В дальнейшем состояние больной оставалось относительно стабильным, была выписана из стациоанара в 21 сутки, на фоне заместительной гормональной терапии.
Обсуждение
Приведенное клиническое наблюдение иллюстрирует клинические особенности послеоперационного периода с трехфазным течением несахарного диабета (несахарный диабет - SIADH синдром - несахарный диабет), на фоне надпочечниковой, тиреоидной недостаточности у больной младшего детского возраста с краниофарингиомой.
На 1 – 3 сутки выявлялась симптоматика со всех уровней мозга - сочетание диэнцефальной с полушарно-подкорковой и орально-стволовой симптоматикой. На 4 – 6 сутки отмечалось ухудшение состояния: развилось коматозное состояние с судорожными припадками сложной структуры, наросла очаговая неврологическая симптоматика, в сочетании с формированием гипонатриемии на фоне задержки жидкости (SIADH) и общего отечного синдрома. Важна хронология событий: угнетение сознания, судорожные припадки, развитие отека мозгового вещества совпадало во времени с задержкой жидкости, и значительно опережало формирование гипонатриемии. На момент развития коматозного состояния Na плазмы крови составлял 134 ммоль/л. По данным литературы [1] для развития коматозного состояния, отека мозга критическим является уровень натрия плазмы крови < 125 ммоль/л.
Положительная динамика состояния последовала за регрессом гипонатриемии, отечного синдрома компенсацией надпочечниковой и тиреоидной недостаточности.
Выявленный ангиоспазм не определял структуру очаговой неврологический симптоматики, регрессировал отсроченно после стабилизации состояния больной (регресс неврологической симптоматики гормонально-гомеостатических нарушений).
В 1 – 3 сутки после операции клинические проявления надпочечниковой и тиреоидной недостаточности были минимальны на фоне средней дозы гормональных препаратов. В этот период проявления несахарного диабета были выраженными, что потребовало применения высоких доз минирина для коррекции полиурии и гипернатриемии.
На 4 – 6 сутки после операции полиурия спонтанно сменилась задержкой жидкости, с развитием общего отечного синдрома и гипонатриемией (SIADH). В сочетании с развитиемSIADH, нарастали клинические проявления надпочечниковой и тиреоидной недостаточности (эпизоды артериальной гипотензии, колебания температуры тела, развитие интерстициального отека легких, низкий уровень кортизола и тиреоидных гормонов в крови), потребовавшие увеличения дозы вводимых гормональных препаратов до стресс-дозы.
Отек мозга, развившейся на фоне умеренной гипонатриемии, в сочетании с общим отечным синдромом не характерны для изолированного SIADH [1]. Это можно объяснить сопутствующей тиреоидной, надпочечниковой недостаточностью, а также физиологическими возрастными особенностями (повышенная гидрофильность тканей, незрелость барьерных функций). При тиреоидной недостаточности описаны явления повышения внутриклеточного уровня натрия [3], когда избыточное поступление свободной воды в клетку может происходить даже при умеренно выраженной гипонатриемии (125 – 135 ммоль/л). А при надпочечниковой недостаточности повышается риск развития общего отечного синдрома на фоне повышения сосудистой проницаемости.
На 6 – 7 сутки после операции улучшение состояния было достигнуто на фоне дегидратации, ведения солевых растворов, увеличения дозы Л-тироксина и гидрокортизона до стресс-дозы.
Основываясь на опыте нашего Института, наиболее часто трехфазное течение несахарного диабета выявляется у больных в возрасте 3 – 8 лет после удаления краниофарингиом, воздействующих на инфундибулярную область, но с сохранным стеблем гипофиза. Фаза SIADH, как правило, развивается на 3 – 7 сутки после операции.
На основании приведенных данных можно заключить, что тяжесть клинических проявлений гипонатриемии у больной детского возраста после удаления краниофарингиомы, в равной степени определялась как синдромом неадекватной секреции эндогенного вазопрессина, так надпочечниковой и тиреоидной недостаточностью.
Обощая приведенные данные можно сформулировать следующие основные особенности клинических проявлений и интенсивной терапии:
- начало нарастания неврологической симптоматики совпадает с задержкой жидкости и опережает формирование гипонатриемии (критический объем задержанной жидкости и степень снижения натрия крови по всей вероятности индивидуальны);
- SIADH, протекающий на фоне надпочечниковой и тиреоидной недостаточности может сочетаться с общим отечным синдромом, отеком мозга, формирующемся даже при потреблении жидкости, регулируемом только питьевой мотивацией (не проводилась инфузионная терапия);
- SIADH в сочетании с полигормональной недостаточностью, может вызвать развитие полиорганной недостаточности, угрожающей жизни больного;
- повышение дозы гормональных препаратов в большей степени основывалось на клинических, а не лабораторных проявлениях гормональной недостаточности. При развитие отечного синдрома и гипонатриемии потребовалось увеличить дозу гормональных препартов до стресс-дозы; Проведение адекватной интенсивной терапии в раннем послеоперационном периоде у детей с краниофарингиомами должна учитывать широкий спектр осложняющих факторов, развивающихся на фоне особой структуры водно-электролитных нарушений в сочетании с гипотиреозом и надпочечниковой недостаточностью, и фазность развития этих нарушений. Успешная коррекция подобных нарушений возможна только в условии реанимационного отделения.
Литература
- Greеnberg Mark S.. Handbook of Neurosurgery. Fifth edition. Thieme, 2001;
- Hoffman HJ, DeSilva M., Humphreys RP, et al:Aggresive surgical management of craniopharyngiomas in children. J Neurosutgg 76:47-52, 1992;
- Meyer-Lehnert H., Schrie R.W. Hyponatriemia: Diagnos and Treatment. In: The regulation of Sodium and Chlorid Balance. ed.: D.W. Seldin, G.Geibisch, Raven Press, New York, 1990);
- Konovalov A.N. Some Problem of Craniopharynioma Treatment. In Craniopharyngioma Surgical Treatment (ed) G. Broggi. Pp 88-97, Springer-Verlag Italia, 1995;
- Kroll M, Juhler M, Lindholm J.:Hyponatriemia in Acute Brain Disease. J Int Med 232: 291-7, 1992;
- Sanford RA: Craniopharyngioma: Result of survey of the American Society of Pediatric Neurosurgery. Pediatr Neurosurg 21 (Suppl 1):39-43, 1994.;
- Shiminski-Maher T. Diabetes insipidus and syndrome of inappropriate secretion of antidiuretic hormone in children with midline suprasellar brain tumors. J. Pediatr. Oncol. Nurs. Jul; 8(3): 106-11, 1991;
- Yazargil MG, Curcic M., Kis M., et al: Total removal of craniopharyngiomas: Approaches and long-term results in 1444 patients. J Neurosurg73:3-11,1990.

 
 
 
 
 
